Implant fails, but surgery doesn’t — No negligence in compound fracture case

November 13, 2025

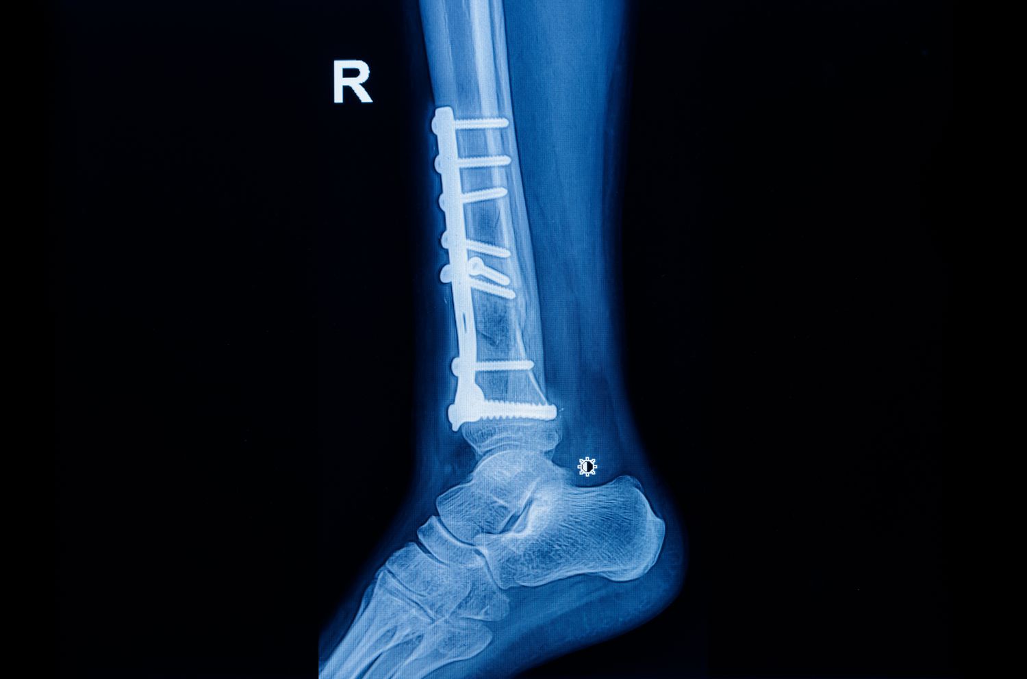
Sometimes, the X-ray looks worse than the outcome. A patient with a crushed lower leg discovered that the metal implant fixing his broken bones had bent months after surgery. He blamed the doctors for using substandard material and filed a complaint, but the court found the treatment had been textbook-perfect.

The patient was admitted after a road accident with a compound fracture — both bones of the right leg broken, the wound open and contaminated. Emergency surgery was performed the same day: debridement, suturing, and external fixation to stabilise the bones. Once the wound improved, doctors replaced the external frame with an interlocking nail to support long-term healing.

Over the next few months, the patient attended regular follow-ups. By December, the fracture site had aligned well and X-rays showed proper healing. But by the end of that month, one image revealed a slight bend in the implant. The patient claimed it was due to faulty fixation or poor-quality material, and alleged that the doctors suppressed the problem. He later underwent further care at another hospital, and approached the consumer forum demanding compensation for medical negligence.

The hospital argued that the implant failure was a known complication, not an error. The treating team had followed standard orthopaedic protocols, and there was no evidence of infection, mishandling, or deviation from accepted medical practice. The second surgeon who treated the patient later confirmed this in his testimony — saying that the initial surgery was appropriate, the failure occurred because of delayed bone union, and that the bones had eventually healed without any fresh operation.

The Kerala State Commission agreed. It observed that the failure occurred nearly five months after fixation, by which time the patient was already mobile. It accepted the expert’s opinion that such implant stress is possible in compound fractures and doesn’t imply defective equipment or poor surgery. The earlier order of negligence was set aside, and the doctors were cleared.

IML Insight

Not every hardware failure equals human error. In orthopaedics, implants can fail even when the treatment succeeds, especially in compound fractures where infection and delayed healing are common risks. Courts look for evidence of deviation from accepted practice — not merely an unfavourable X-ray.

Source : Order pronounced by Kerala State Consumer Disputes Redressal Commission on 21st August, 2025.


© 2024 MedLegal Safety Standards Organization (Corporate Law Academy Private Limited) All Rights Reserved | Powered by Smirisys